軽く親知らずの抜歯について書いておきます。 下顎親知らずの抜歯 ・まっすぐに生えている場合 短時間で術後の痛み、腫れは少ないです。 ・横向きや埋まっている場合 これは大変です。 歯茎を切り開き骨や歯の削除を行い抜いていきます。 上顎と 埋まっている親知らずを歯列矯正で引っ張る治療法 現代人の多くの親知らずは、歯の大型化と顎骨の狭小化によって、正常に萌出できなくなっています。 したがって、何か理由が無ければ、基本的には抜歯が適応になることが多いでしょう。 ところが、この親知らずの手前の第二大臼歯が虫歯などで保存が難しい場合、この第二大臼歯に代わって親知らず 親知らずの生え方②歯茎に半分埋まっている 歯茎から半分だけ顔を出す親知らずです。 この場合、図のように歯茎との間に汚れがたまりやすく、 におい や 虫歯 、 痛み が起こりやすい
親知らず外来 立川の歯医者 インプラントならひろた歯科
埋まっている 親知らず
埋まっている 親知らず-親知らずが埋まっている部分の、一番骨に近い箇所を綺麗に掃除していき、歯の一部を明示します。 右上8番水平完全埋伏智歯。歯肉剥離時の状態。肉芽掻爬後。 先の細い器具を用いて、歯を動かしていきます。 右上8番水平完全埋伏智歯。ペリオトームで少しずつ動かしていく。 少しずつ親 歯茎に埋まってる親知らずは、口腔内に歯冠部が露出していません。 ですから、患者さん自身はその存在自体を知らないことが大半です。 多くの場合、そういった親知らずは 歯科治療でレントゲン撮影を行った際に確認 されます。



口腔外科 瑞祥デンタルクリニック 地下鉄 新栄町駅 徒歩1分
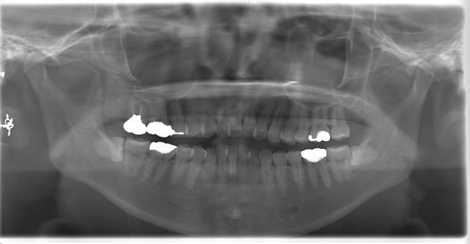
横向きに埋まっている親知らず 下の二本の親知らずは横向きに埋まったままです。 上の二本の親知らずは、斜めになって埋まっています。 レントゲン写真の様に上下4本とも正常に生えてこない親知らずは決して珍しい事ではありません。 この様に埋没した親知らずは、矯正治療をする、しないにかかわらず、 抜歯をする ことをお薦めします。 なぜなら、歯磨き歯科治療横向きに埋まっている下の親知らずの抜歯 千種区池下の優しい歯医者さん 阿部歯科 院長阿部丈洋です。 今回は皆さんが「気になっているけれど、なかなか怖くて聞けない・・・」という 下の親知らずの抜歯の内容とその手順 について、詳しくご説明をしたいと思います。親知らず症例 半分埋まっている親知らずを抜きたい。 。年齢・性別 30代・女性 来院動機 下の左右の親知らずが少し生えていて、疲れると腫れたり痛んだりするので抜きたい。 治療内容 Before 抜歯前のレントゲン写真 下の左右に親知らずが埋まっています。
親知らずの抜歯 骨に埋まった親知らず についてvol2 先週、抜歯した患者さんの抜歯する前のレントゲン写真です。 完全に骨に埋まって神経に近接、骨と一部癒着、なかなか手強い親知らずでしたが 30分で痛みを感じさせずにいつも通りに抜けました。 一週間後の経過も非常に良くて安心しました! 時折疼く完全に埋まっている親知らずを抜歯するかどうか こんにちは、いつもお世話になっております。 私は下の左右に 親知らず があります。 完全に横向きで 歯茎 に埋まっています。 酷く痛む事はありませんが、 発熱 した後や酷く疲れた時にうずくような感覚になる事がありました。 現在、胃腸 風邪 で39度近くまで発熱した後、両方にまたうずきが 親知らずは1度痛んだら抜いたほうが良いというのをこのサイトを見て知ったので、この 親知らずを抜歯 しようと考えています。 そこで心配なのが、歯科医の先生に 抜歯 するなら歯茎を切開しなければならないと言われました。 完全に埋まっている親知らずを切開するのはわかりますが、この程度(半分~1/3)埋まっている場合でも切開しなければなら
歯列矯正に支障が生じない場合、歯茎に埋まっている親知らずの抜歯はしなくてもよいでしょう。 ただし、親知らずが埋まっていることで、 その周りの歯が規則正しく並んでいない・炎症が起きている ときは、 抜歯が必要になります。埋まっている親知らずも抜けますか?(←詳細はクリック) 口腔外科 可能です。当院には3次元画像を撮影できるctも備えております。 まず、お口のなか全体をみることができるパノラマレントゲンにより診査します。親知らずが深くにあったり、根っこの形が複雑であったり、大きな神経のQ親知らずを4本抜歯したいのですが、他院にて全部埋まっていると大学病院を紹介されました。 しかしなかなか予約が取れないため、病院を探しこちらの病院を見つけました。 親知らず4本抜歯するにはどのくらいの期間が必要ですか? また、1本目を



横向きに生えた親知らず 医療法人社団 横浜駅西口歯科



親知らず抜歯をした方がいいケース しなくていいケース 新宿西口歯科医院
横向きに埋まった親知らずは、そのままだと出てこないので、親知らずの前にある7番目の歯にぶつかっているところを割って、分けて取り出します。 親知らずを抜き終わったら、歯茎(歯肉)を戻して、糸でぬいます。 ここまで大丈夫でしょうか? 次は2つ目、埋まった親知らずを抜いた1 親知らずが上下できちんと生え、かみ合っている:写真 (図10) のように親知らずが顎に直立して生え、お互いにかんでいる場合。 2 顎の骨の中に完全に埋まっていて問題が無い:写真 (図11) は、親知らずが顎の骨の中に完全に埋まっている状態です。 この親知らずは周りの歯や骨にExtracting wisdom tooth using bone chisels 埋まっている親知らずをハンマーを使って抜く Real Dental AMSRI am Dentist Aya in JapanPlease subscribe to "Aya clinic TV" channel



親知らずの基礎知識 川西市で親知らずの抜歯なら福地歯科クリニックへ



骨の中に入っている親知らずの話 やましろ歯科口腔外科 口腔外科 口腔内科 福岡で親知らず の抜歯 ドライマウス 睡眠時無呼吸症候群 口腔がん健診のことならやましろ歯科口腔外科へ 日本口腔外科学会認定専門医が治療します
親知らず・口腔外科oral surgery 親知らずとは、前歯から数えて8番目の歯のことで、多くの方が歳前後に生えてきます。 "親知らず ⇔ 抜く ⇔ 痛い" というイメージを皆様お持ちではないでしょうか?? なぜ抜くのか?? 親知らずが真っ直ぐ生えてくる方は大変少なく、正しく噛み合ってい その埋まった親知らずがなぜかうずきだし前の歯を押すんですよ めちゃめちゃ痛いです。 でも抜くとなると 1 切開し 2 掘り出し 3 縫う と言う



完全に埋まっている親知らず 完全埋伏 親知らず抜歯外来 渋谷歯科



親知らずの抜歯 西新井の歯医者 千賀デンタルクリニック



いろいろな形の親知らず



痛くなったらどうする 親知らずのケアと治療 医療 健康tips 毎日新聞 医療プレミア



親知らずを抜くべきでしょうか 親知らずの抜歯について 梅田茶屋町クローバー歯科q A



歯ぐきの中に埋まっている親知らずの痛くない抜歯 河村歯科クリ二ック



横向きに生えた親知らずに潜むリスク ひらかわ歯科医院



東大阪で麻酔を使った痛みの少ない親知らずの抜歯 東大阪八戸ノ里のしろくま歯科



親知らず 痛い



難しい親知らずの抜歯



親知らず 歯とお口のことなら何でもわかる テーマパーク80



親知らず レントゲン



横向きに完全埋没し埋まっている親知らずを抜かないとどうなる



親知らず 東京歯科大学千葉歯科医療センター



親知らずとは 抜くリスク 抜かないリスク 三鷹通りセントラル歯科



New 親知らず 2 平木歯科医院 山陽小野田市



寝屋川市で歯医者 歯科なら かに歯科



親知らず 智歯 の抜歯 渋谷宮益坂歯科 渋谷駅1分 土日も診療の歯医者



口腔外科 難しい抜歯 ヤナセ歯科医院 埼玉県朝霞市



親知らず放置しても大丈夫 抜くときはどういうとき 抜歯当日の注意点も紹介 オーラルハック 8028lab



親知らず 大泉学園の歯科 矯正歯科



親知らずの抜歯 親知らず抜歯の治療例100件掲載 親知らず抜歯外来 渋谷歯科



親知らず 智歯 について 渋谷宮益坂歯科 渋谷駅1分 土日も診療の歯医者



親知らず おおたわ歯科医院 おおたわ歯科医院



骨に埋まった親知らずの抜歯 スタッフブログ 愛媛県松山市伊藤歯科医院



横向きに生えた親知らず 医療法人社団 横浜駅西口歯科



いろんな親知らずの生え方埋まり方 やましろ歯科口腔外科 口腔外科 口腔内科 福岡で親知らず の抜歯 ドライマウス 睡眠時無呼吸症候群 口腔がん健診のことならやましろ歯科口腔外科へ 日本口腔外科学会認定専門医が治療します



親知らずが埋まっている状態は危険 生え方に合わせた対策を 大崎の歯科 歯医者 大崎シティデンタル 丁寧で痛くない治療



完全に埋まっている親知らずの抜歯 親知らず専門外来 渋谷歯科 親知らず抜歯外来 渋谷歯科



親知らず 智歯 の抜歯 渋谷宮益坂歯科 渋谷駅1分 土日も診療の歯医者



親知らずの抜歯 三軒茶屋マルオ歯科



やっと出てきた親知らず 神戸市中央区で機能的 審美的な入れ歯をご希望なら高速神戸駅近の松村歯科医院



真横に埋まった親知らず Dr Kの独り言 Ku歯科クリニック



横向き完全埋没の親知らず 水平埋伏智歯 の痛くない抜き方



親知らず 治す 診療科目 関内 山下町の歯医者 パークサイド横浜デンタルクリニック



親知らずは抜かなきゃいけない 等々力 歯医者 デンタルオフィス等々力 夜9時まで診療の歯科



下のあごの骨や歯ぐきの中に埋まっている親知らずを痛みや腫れがでないように上手く抜いて ほしいのですが そんなことはできるのでしょうか 公益社団法人神奈川県歯科医師会



親知らず 歯とお口のことなら何でもわかる テーマパーク80



親知らずはトラブルメーカー 石神井公園 歯医者 たけのうち歯科クリニック



親知らず 歯とお口のことなら何でもわかる テーマパーク80



親知らずの抜歯はしたほうが良いのか 名古屋歯科



親知らず 口腔外科 鎌ケ谷市の歯医者 東初富アモール歯科クリニック



寝てる間に親知らず抜歯 Dr Kの独り言 Ku歯科クリニック



神経に触れている親知らず ネット予約可 静岡市の歯医者は小嶋デンタルクリニック



口腔外科 瑞祥デンタルクリニック 地下鉄 新栄町駅 徒歩1分



親知らずについて 本川越歯科 ウニクス川越歯科 インプラント 矯正ご相談ください 川越歯科グループ



親知らず みょうでんfamily歯科 妙典駅1分 家族で通える歯医者



親知らず 神奈川県の横浜歯友会内藤歯科



親知らず 抜歯するケースとしないケース 新板橋 板橋駅の歯医者 いしかわ歯科 平日夜9時まで



親知らず抜歯の費用 まっすぐ 横向き 埋まっている手術の料金と手順



抜かない 残した ほうがよい親知らず



Topic 親知らずの抜歯について 山道歯科医院 天神で1年 天神駅徒歩1分の歯医者



親知らず症例 半分埋まっている親知らずを抜きたい 症例 治療例 くげぬま海岸歯科クリニック 審美 インプラント 矯正歯科 藤沢 鵠沼海岸 歯医者



埋伏歯を移植 石神井公園 歯医者 たけのうち歯科クリニック



親知らずの抜歯 三軒茶屋マルオ歯科



横浜戸塚 内藤歯科 年製作 水平埋伏タイプの親知らずの抜歯 前編 Youtube



親知らず 歯とお口のことなら何でもわかる テーマパーク80



Topic 親知らずの抜歯について 山道歯科医院 天神で1年 天神駅徒歩1分の歯医者



親知らずは抜いた方がいいですか 抜歯の費用はいくらかかりますか まつばら歯科口腔外科こども歯科



歯肉の中に埋まっている親知らず抜歯 スマイルプラン歯科クリニック西宮



親知らずの治療 綾瀬市 座間市 海老名市 大和市でインプラント治療をお探しなら武内歯科医院



前歯がガタガタになるかも 横向きに生えている親知らず抜く理由 ペア歯科医院 市川診療所



骨に埋まった親知らず について 河村歯科クリ二ック



上の骨に埋まって横向きになっている親知らずの抜歯 Nakacho Dental Office Blog



親知らずは抜く 残す 抜歯しなくても良いケースとは いしゃまち



下のあごの骨や歯ぐきの中に埋まっている親知らずを痛みや腫れがでないように上手く抜いて ほしいのですが そんなことはできるのでしょうか 公益社団法人神奈川県歯科医師会



親知らず ミューズ歯科クリニック



親知らず 淡路町駅の歯医者 みなと歯科 平日 30まで診療



骨の中に入っている親知らずの話 やましろ歯科口腔外科 口腔外科 口腔内科 福岡で親知らず の抜歯 ドライマウス 睡眠時無呼吸症候群 口腔がん健診のことならやましろ歯科口腔外科へ 日本口腔外科学会認定専門医が治療します



骨の中に入っている親知らずの話 やましろ歯科口腔外科 口腔外科 口腔内科 福岡で親知らず の抜歯 ドライマウス 睡眠時無呼吸症候群 口腔がん健診のことならやましろ歯科口腔外科へ 日本口腔外科学会認定専門医が治療します



3



親知らずって 枚方の歯医者 本多歯科



親知らず 神楽坂駅1分の歯医者 神楽坂駅前吉野歯科



親知らず つれ舌 歯根嚢胞 高崎市 すまいる歯科 伊東醫院



埋まっている親知らずを歯列矯正で引っ張る治療法 神田の歯医者 神田デンタルケアクリニック



親知らずの抜歯 又吉歯科医院



下のあごの骨や歯ぐきの中に埋まっている親知らずを痛みや腫れがでないように上手く抜いて ほしいのですが そんなことはできるのでしょうか 公益社団法人神奈川県歯科医師会



大人の親知らずは抜くべき 抜歯後の痛み 腫れの予防 軽減方法などを解説 歯科医師監修



親知らず外来 立川の歯医者 インプラントならひろた歯科



奥歯が痛い 親知らず つくば市の正岡デンタルクリニック



横向きに完全埋没し埋まっている親知らずを抜かないとどうなる



抜かない 残した ほうがよい親知らず



口腔外科 岡山市の歯科医院 アクアデンタルクリニック



まっすぐ生えた親知らず 医療法人社団 横浜駅西口歯科



親知らず 一般歯科 タスクデンタルクリニック



親知らずは抜かないと矯正治療はできないのですか



親知らずが引き起こすトラブルと親不知の抜歯について ストローマンパートナーズ



親知らずでお困りならご相談を ポンタがいる歯医者 ウエノデンタルクリニック 阪急三国駅前



親知らずとは 抜いた方が良い 歯科衛生士がお口の悩みに答えます



親知らずについて 谷村歯科医院



上顎の半分埋伏している親知らずを抜歯しました 川西市の歯科 歯医者なら つばめデンタルクリニック川西



親知らず



親知らず 土日祝日祭日も診療 江東区東大島の歯医者 ハートリーフ歯科クリニック東大島 です 当歯科医院は都営新宿線東大島駅より徒歩4分です



親知らず 歯とお口のことなら何でもわかる テーマパーク80



親知らずの抜歯費用はいくら 保険と自由診療の違いについても解説 歯のアンテナ



親知らずが埋まっている状態は危険 生え方に合わせた対策を 大崎の歯科 歯医者 大崎シティデンタル 丁寧で痛くない治療



歯列矯正で横向きに埋まっている親知らずを抜歯する理由は何



親知らず症例 半分埋まっている親知らずを抜きたい 症例 治療例 くげぬま海岸歯科クリニック 審美 インプラント 矯正歯科 藤沢 鵠沼海岸 歯医者



親知らず クリーン歯科



あごに埋まる ドミノ倒し 親知らずは抜いたほうがいい 歯科医に聞く ウートピ


0 件のコメント:
コメントを投稿